
目の下のたるみは、加齢や疲れ、肌の乾燥、脂肪の膨らみなど、さまざまな原因で現れる症状です。年齢よりも老けた印象に見られてしまうだけでなく、そのままにしておくことで目の周りのしわが増えたり、目の下のクマができたりする場合も。

誤ったセルフケアは、かえって目の下のたるみを悪化させてしまう可能性があります。そのため、しっかりと治したい場合は美容皮膚科のたるみ治療をおすすめします。
今回は、目の下のたるみの原因と対処法、美容皮膚科の治療法について解説します。
群馬県太田市の美容皮膚科ルミナスビューティークリニックでは、目の下のたるみや年齢肌でお悩みの方のために無料カウンセリングを実施しています。たるみの引き締めやリフトアップに最適な治療プランを無料でご提案しておりますので、どうぞお気軽にご来院ください。
目の下のたるみを治すには?早期治療をおすすめする理由

目の下のたるみを効果的に治したい場合は、早めに美容皮膚科のたるみ治療に切り替えることをおすすめします。早期に治療を行うことで、
- たるみの悪化を防げる
- しわやクマの予防・改善ができる
- 目元の印象が若返る
といったメリットが期待できます。

ルミナスビューティークリニックでは、最新の美肌治療機器や薬剤を使った目の下のたるみ治療を行っています。メスを使わずにたるみを治すことができるので、痛みやダウンタイムが少なく、切開跡や縫合跡が残る心配もありません。
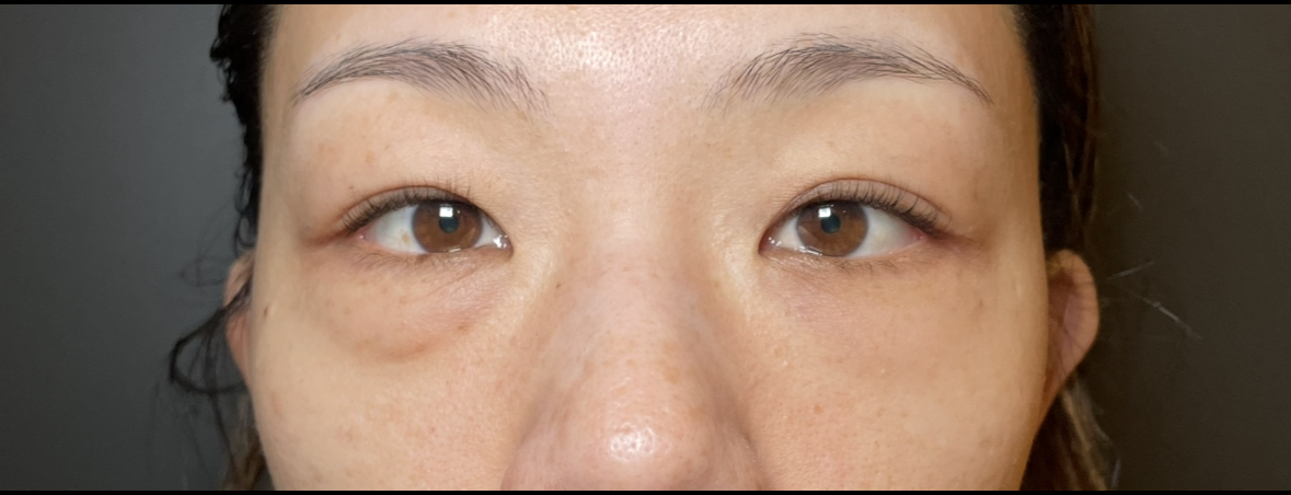
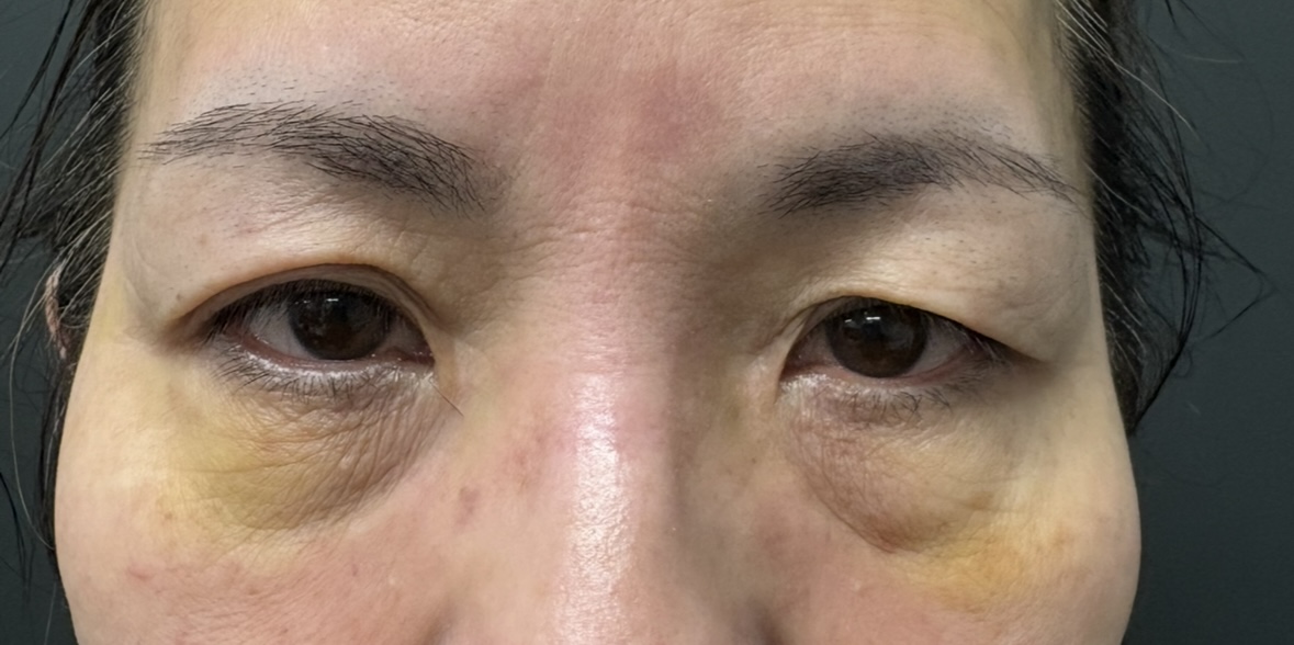
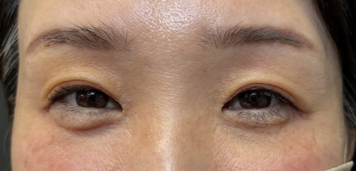
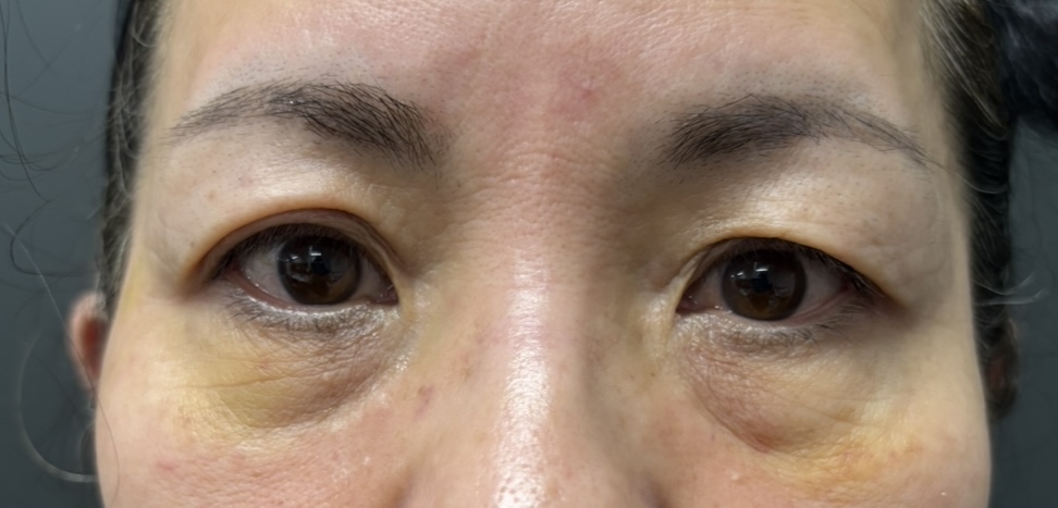
ルミナスビューティークリニックの症例紹介
ルミナスビューティークリニックのたるみ治療

群馬県太田市の美容皮膚科ルミナスビューティークリニックでは、目の下のたるみを効果的に改善できる最新の美肌治療メニューを多数ご用意しています。最適な治療プランは、医師が診断のうえ無料でご提案しますので、まずはお気軽に無料カウンセリングへご来院ください。
デンシティ

デンシティは、モノポーラとバイポーラという2種類の異なる高周波を照射し、たるみの引き締めやしわの改善が行える最新の美肌治療機器です。強力な高周波を肌組織の内部に照射し、その熱エネルギーの力でたるんだ皮膚組織が収縮し、たるみやしわが改善されます。

高周波の熱エネルギーの刺激を受けた肌の内部では、コラーゲンやエラスチンなどの美肌成分の産生が活性化するため、ハリと弾力のある若々しい美肌を目指すことも可能です。


目の周りの引き締めには、上まぶたや下まぶた、眉間、目尻もしっかりと照射できる目元専用のチップに切り替えます。目のギリギリまで照射するため、眼球を保護するコンタクトシェルと麻酔を使用します。
強力な高周波を照射するデンシティですが、最適なエネルギー出力に調整するインピーダンスシステムと強力な冷却ガスを照射するクーリングシステムを搭載しているため、痛みや火傷のリスクを最小限に抑えることができます。
デンシティの導入は、ルミナスビューティークリニックが群馬県初となります。施術直後から目の開きやすさやたるみ・しわの改善を感じられると好評です。メスを使わずにしっかりとたるみを治したい方は、デンシティをぜひお試しください。
スネコス注射

スネコスは、非架橋のヒアルロン酸と6種類のアミノ酸を配合したイタリア製の注入用の薬剤です。特殊な配合によって国際特許を取得しており、規制が厳しいEUにおいてCEマーク クラスⅢを取得した信頼性の高い注入剤となっています。


非架橋ヒアルロン酸は、つなぎを入れずに精製されているため柔らかく、肌に馴染みやすいという特徴があります。血管閉塞のリスクが少なく、デリケートな目の周りの皮膚に最適な薬剤です。
スネコス注射は、特別な比率で配合されたヒアルロン酸とアミノ酸が、肌を内側から支える細胞外マトリクスという組織の再生を促します。細胞外マトリクスが再生されることで、コラーゲンやエラスチンを産生する線維芽細胞が活性化し、肌本来の潤いや弾力を回復させる効果が期待できます。
目元の注入に関しては、治療経験豊富な医師による手打ちを行っています。まずはお気軽に無料カウンセリングにてご相談ください。
ナチュメディカ Cosmetic Series アイクリーム

目の下のたるみケアには、ナチュメディカ Cosmetic Seriesの アイクリームもおすすめ。

ナチュメディカ Cosmetic Seriesは、ペプチドや発酵エキスなどの美容液レベルの成分を配合しながら、肌の負担に配慮した処方設計を行っている医療機関専売のドクターズコスメです。

アイクリームは、キメを整えるビザボロールとアラントイン、潤い成分の王道、ヒアルロン酸にエラスチンとパンテノール、ハリに役立つペプチドや幹細胞高含有量の培養液エキス、引き締め効果のある3種類のペプチド複合体と、酸化ダメージからも肌を守るヘスペリジンを贅沢に配合し、自分史上最高の目元に導きます。伸びがいいのにべたつかず、潤いを保ちつつ素早く角質層まで浸透するテクスチャーを追求しています。

ルミナスビューティークリニックでは、患者さまの症状や目指したいゴールに合わせて、さまざまな美肌治療メニューを組み合わせることができます。複数の治療を組み合わせることで、たるみの引き締め効果をアップしたり、治療効果が長く持続したりすることが期待できます。
詳しい診断や治療プランのご提案は、無料カウンセリングにて承っております。目の下のたるみでお悩みの方は、イオンモール太田そば(ティップネス隣)の美容皮膚科ルミナスビューティークリニックまでご来院ください。
目の下のたるみの原因と対処法

目の下のたるみの主な原因は以下の4つです。
- 皮膚の弾力低下
- 肌の乾燥や刺激
- 眼輪筋の衰え
- 眼精疲労
それぞれを対処法とともに解説します。
皮膚の弾力低下

加齢によって肌の内側のコラーゲンやエラスチンなどの美肌成分が減少すると、肌のハリや弾力が低下します。その結果、目の下の皮膚が重力の影響でたるみやすくなります。また、頭や頬、首などの他の皮膚の弾力性も低下し、その重みの影響も受けてたるみが生じやすくなります。

寝不足やストレスの蓄積にも要注意。肌のターンオーバーが乱れ、しわやたるみができやすくなる可能性があります。
加齢による皮膚の弾力低下を完全に食い止めることはできませんが、保湿や目の周りのマッサージ、栄養バランスの良い食事を摂ることなどで皮膚の衰えをゆるやかにしていきましょう。
対処法
目の周りの皮膚はとてもデリケートなため、保湿の際は皮膚をこすらないようにご注意ください。また、目の周りの皮膚のマッサージは、やりすぎるとしわやクマができる可能性を高めます。目の周り専用の保湿クリームなどを使い、清潔な手でやさしく目の周りをマッサージしていきましょう。
健康で弾力ある皮膚を作るためには、タンパク質(肉や魚、卵、大豆、牛乳など)やビタミン(野菜や果物、レバー、うなぎなど)、食物繊維(海藻類、きのこ類、玄米など)を多く含む食品を積極的に食べましょう。
肌の乾燥や刺激

目元の皮膚は非常に薄く、乾燥や摩擦などの外的な刺激に弱い部位です。また、目の周りを擦ったり、力を入れてメイクしたりすると、皮膚の乾燥が進んで小じわやたるみが増える原因になります。乾燥や刺激によって摩擦が強まると、目の下にクマもできやすくなるため注意が必要です。
対処法

目の下の保湿をしっかりと行うとともに、余分な刺激を皮膚に与えないように注意しましょう。目の周りが気になっても、擦ったり引っ張ったりしないことが大切です。目の下の皮膚をきちんとケアするのにおすすめなのが、医療機関専売のドクターズコスメです。
市販品よりも有効成分の配合量が多いものや、医療用の成分を配合したアイテムが多数ありますので、ご自身の肌に合ったスキンケアを行えます。ルミナスビューティークリニックでは、ナチュメディカ Cosmetic Series アイクリームなどを取り扱っていますので、スキンケアでお悩みの方もお気軽にご相談ください。
眼輪筋の衰え

目の周りの皮膚を支える眼輪筋が衰えると、目の下の皮膚や脂肪を支える力が弱くなり、たるみが生じやすくなります。加齢に伴って眼輪筋は徐々に衰えてしまうものですが、無表情な時間を減らすなど、目の周りの筋肉を意識的に使うようにすることが大切です。
対処法

表情のトレーニング(目をギュッとすぼめたり、強く見開いたりすること)で眼輪筋をある程度鍛えることはできますが、やりすぎには要注意。目の周りの皮膚が伸びてしまい、小じわやたるみがかえって悪化する可能性があります。なるべくやさしい笑顔をキープしつつ、表情を作る筋肉に程よい緊張感を与えていきましょう。
眼精疲労

パソコンやスマートフォンを長時間使用することによって目が疲れると、目の周りが血行不良を起こしやすくなります。血行不良は皮膚をたるませる原因になるだけでなく、クマやくすみ、シミなどの原因にもなるため、目を酷使しすぎないことが大切です。
対処法
パソコンやスマートフォンを使う場合は、こまめに目の休息を入れましょう。休息する際は、ホットタオルやアイマスクを使うとリラックス効果が高まります。視力が低下していると眼精疲労を感じやすくなりますので、度数の合ったメガネやコンタクトレンズを使用することもおすすめです。

寝不足は目の疲れが蓄積しやすくなるだけでなく、肌の老化を加速させる原因にもなります。1日7時間以上の睡眠時間を確保し、目の疲れの解消と肌の健康を促進していきましょう。
ここで紹介した対処法を行っても目の下のたるみが解消できない場合は、お早めに群馬県太田市のルミナスビューティークリニックまでご相談ください。多彩な美肌治療メニューの中から、患者さまの症状や肌質に合わせた治療プランを無料でご提案いたします。
まとめ 目の下のたるみはルミナスビューティークリニックへご相談を

今回は、目の下のたるみの原因や対処法、治療法について解説しました。
目の下の皮膚はとてもデリケートなため、小じわやたるみができやすい部位です。誤ったケアは、かえってたるみが悪化する場合も。クマやくすみ、シミができてしまう可能性もあります。かといってそのままにしておいても、加齢による皮膚や筋肉の衰えでたるみが自然に治ることは期待できません。

なかなか治らない目の下のたるみでお悩みの方は、群馬県太田市の美容皮膚科ルミナスビューティークリニックまでご相談ください。最新の美肌治療メニューを組み合わせることで、目の下のたるみの効果的な改善が期待できます。
無料カウンセリングでは、最適な治療プランを無料でご提案しております。どうぞお気軽にご来院ください。
